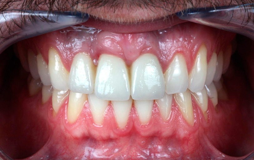
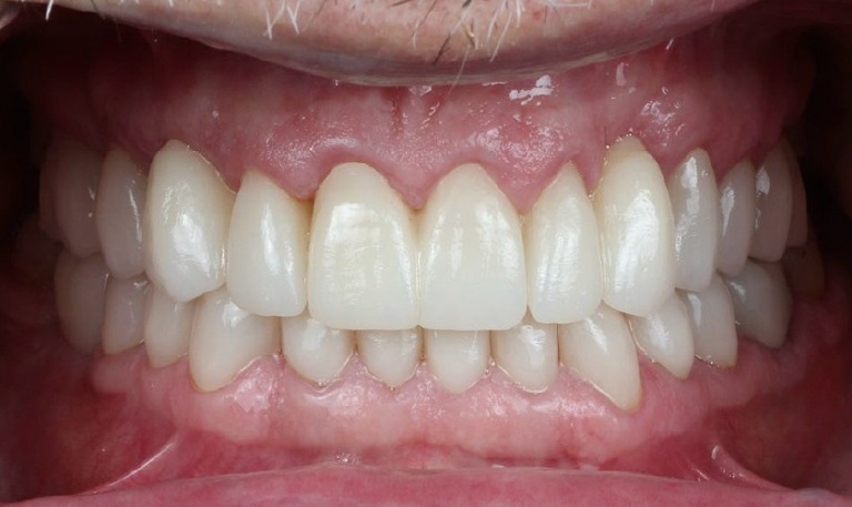
Cada sonrisa tiene una historia
Aquí te mostramos resultados reales de pacientes como tú
En nuestra clínica trabajamos cada caso de forma personalizada: analizamos las necesidades individuales, planificamos el tratamiento y lo ejecutamos con el máximo cuidado para conseguir resultados efectivos y estéticos.
A continuación, puedes ver algunos de los casos más representativos que hemos tratado recientemente.
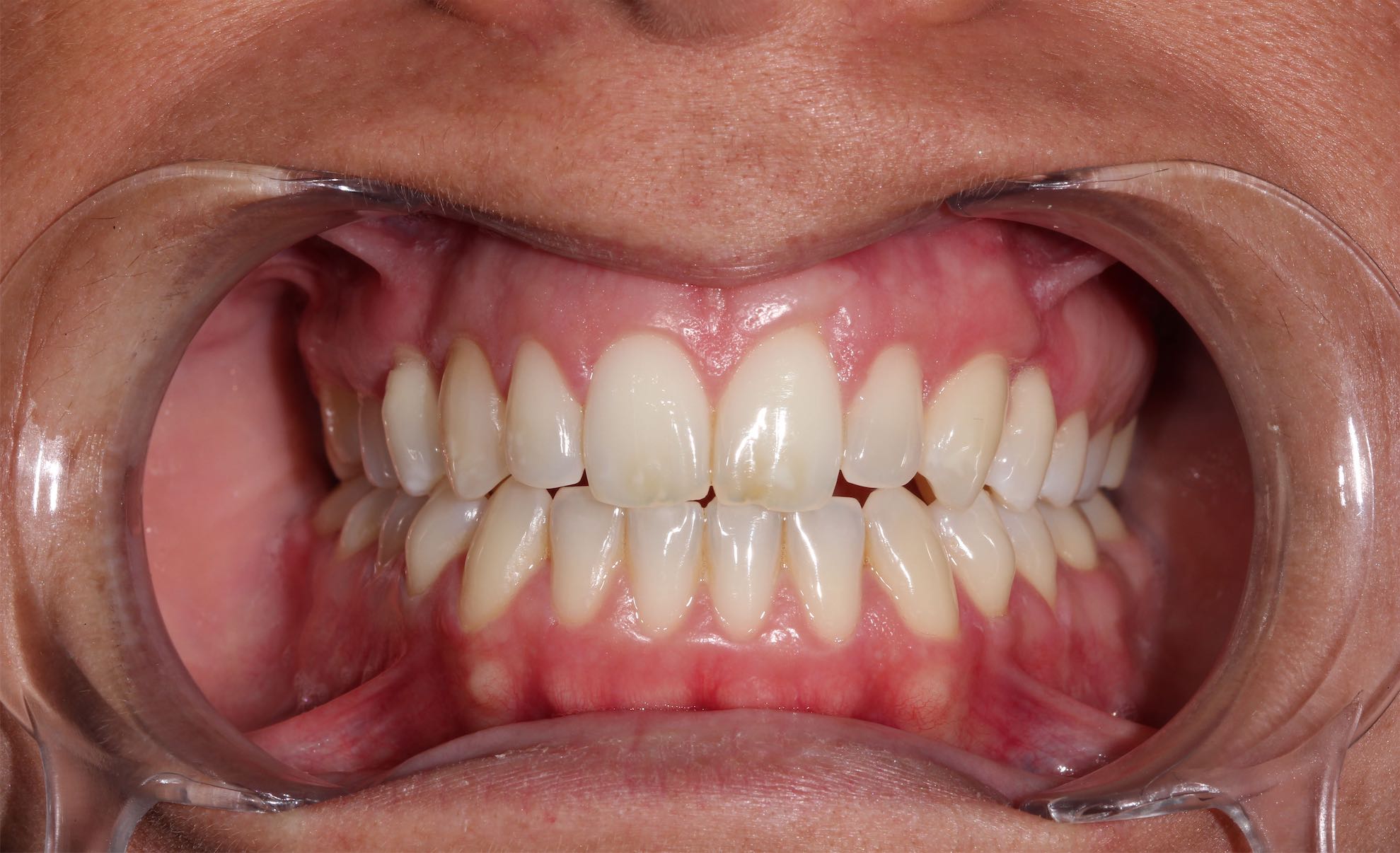
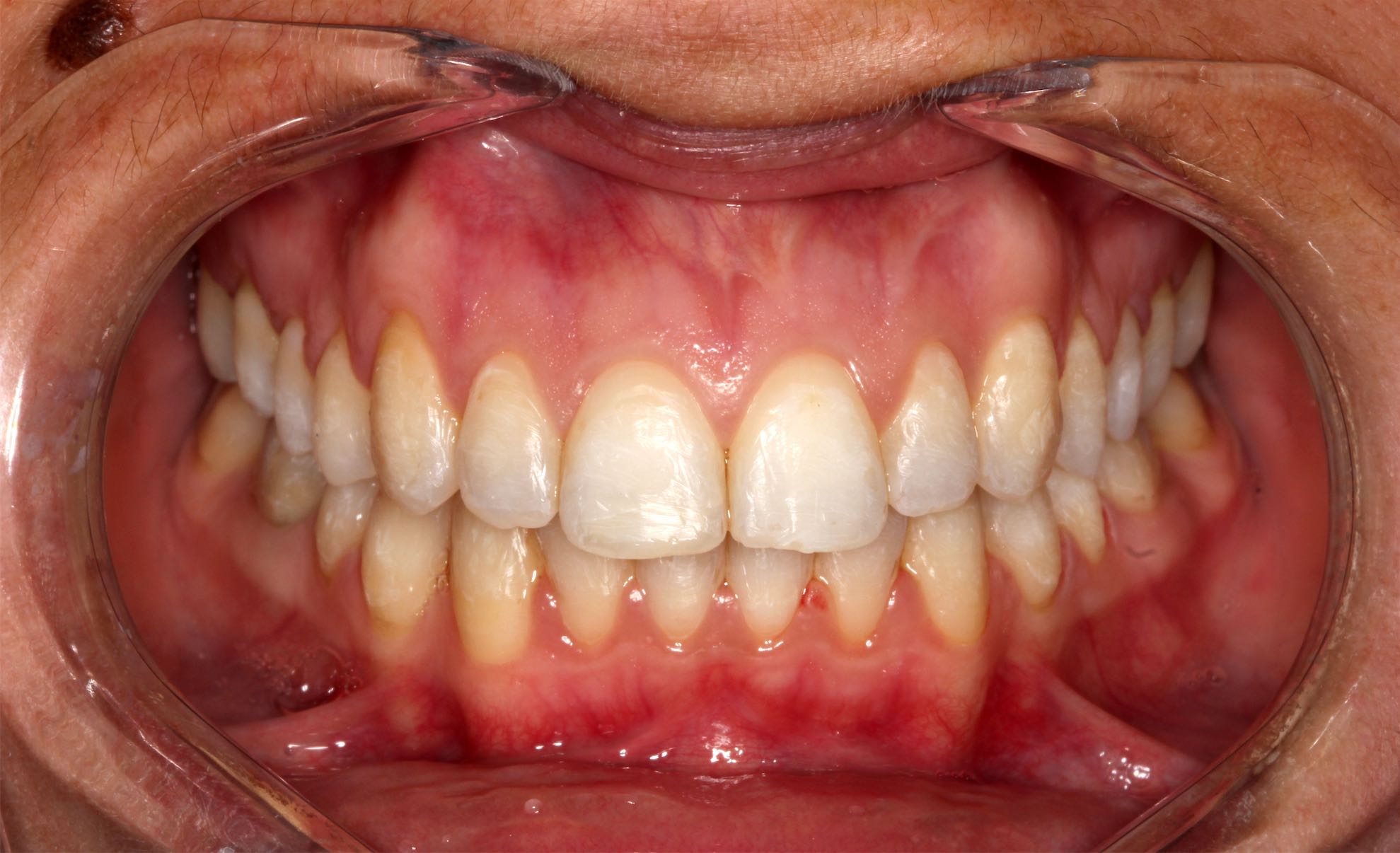
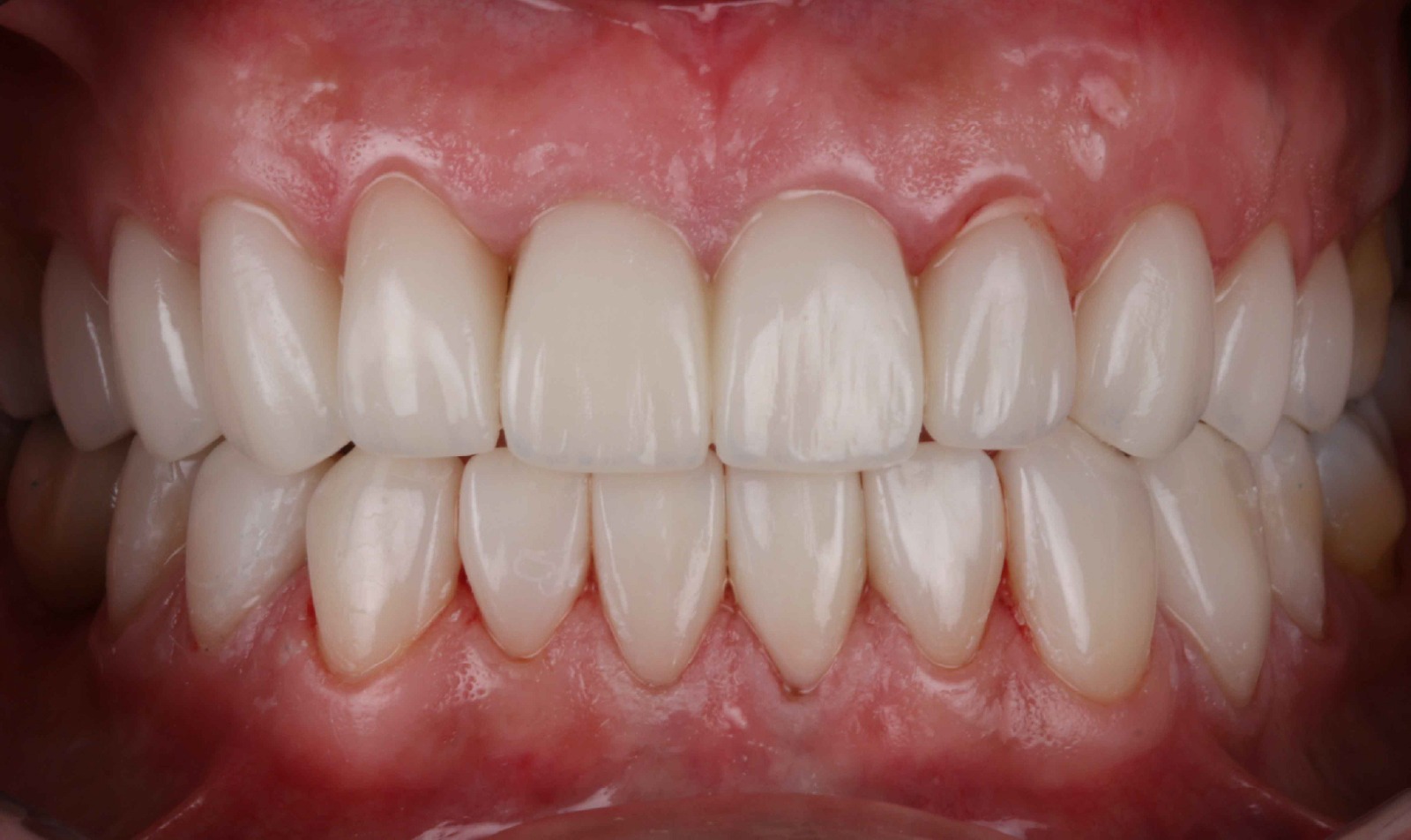
Blanqueamiento Dental



BeforeAfter
Implantología. Implantes Unitarios



BeforeAfter
Implantología. Rehabilitaciones Completas



BeforeAfter
Odontología Estética Carillas



BeforeAfter
Odontología Estética. Composites



BeforeAfter
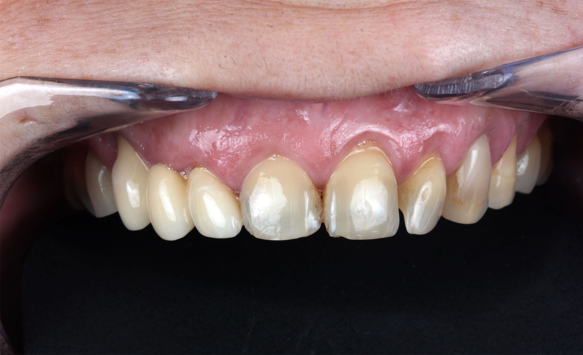
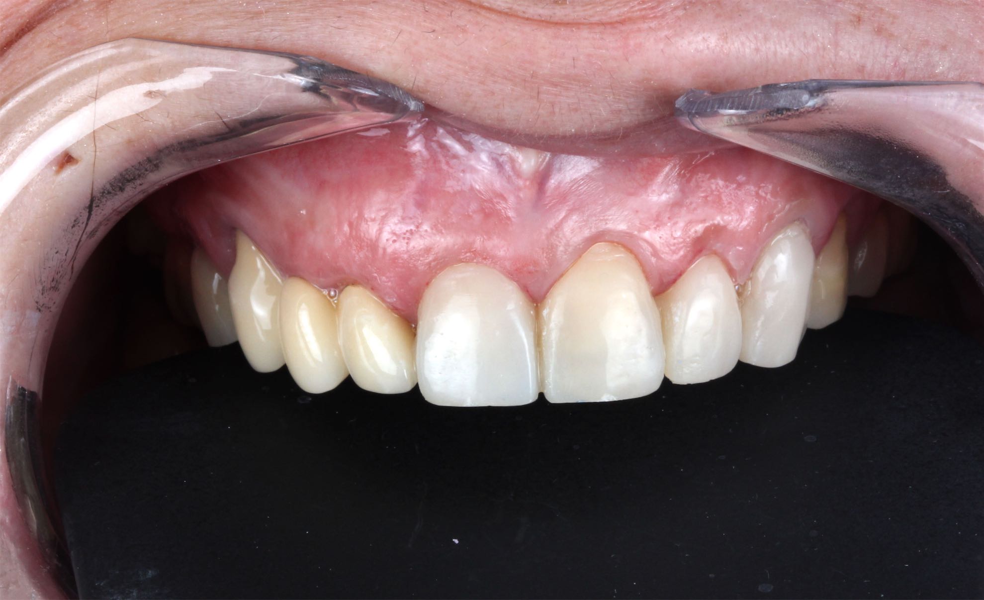
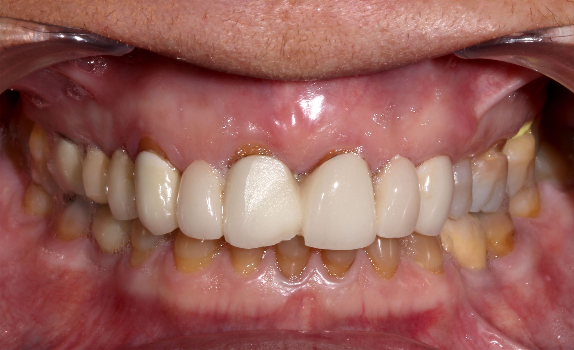
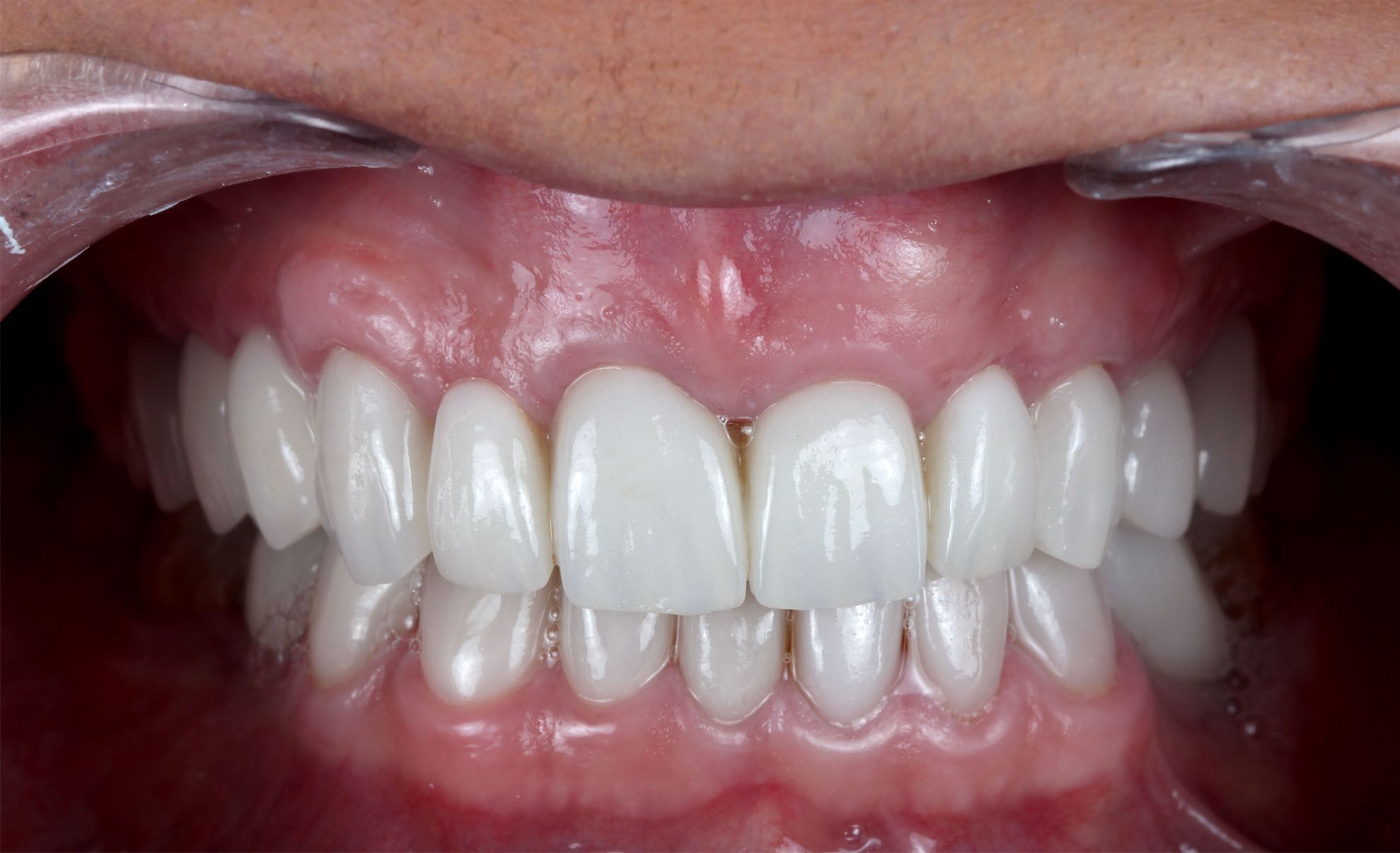
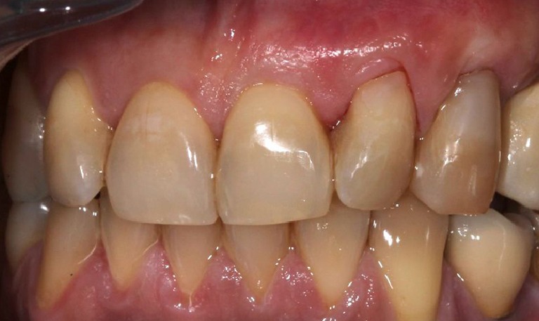
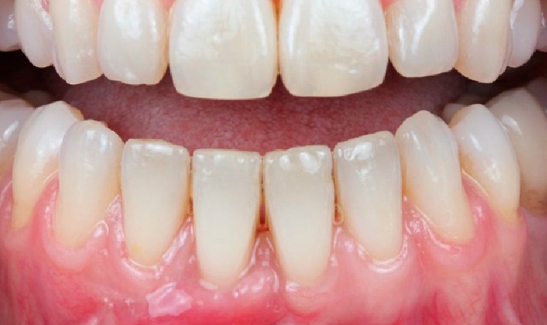
Odontología Estética. Coronas



BeforeAfter
Odontología Restauradora Incrustaciones CAD-Cam



BeforeAfter
Ortodoncia



BeforeAfter
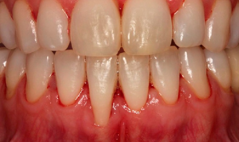
Periodoncia . Injertos de Encía



BeforeAfter
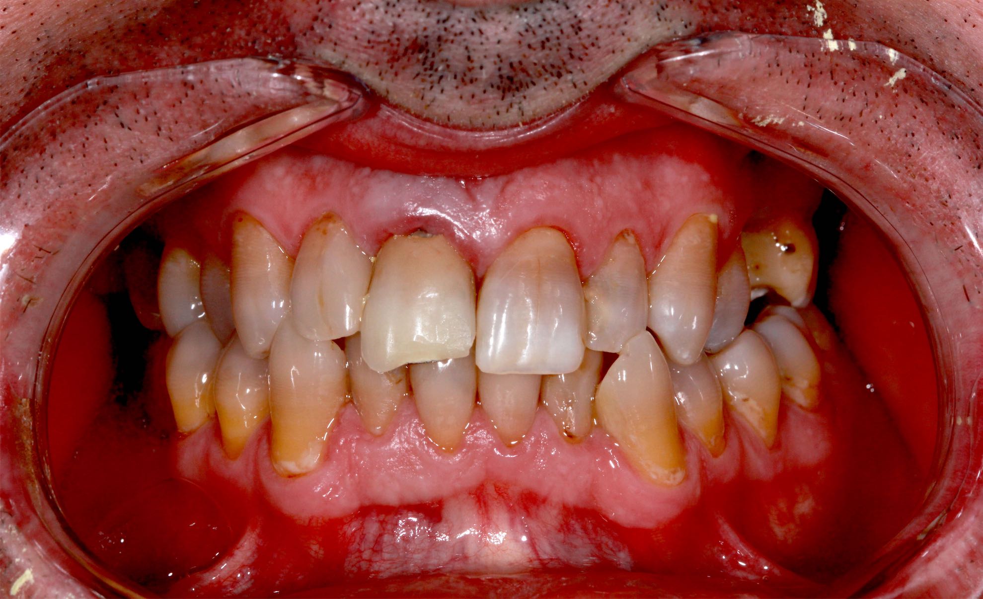
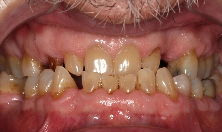
Rehabilitaciones completas. Tratamientos multidiciplinares



BeforeAfter
Implantes



BeforeAfter
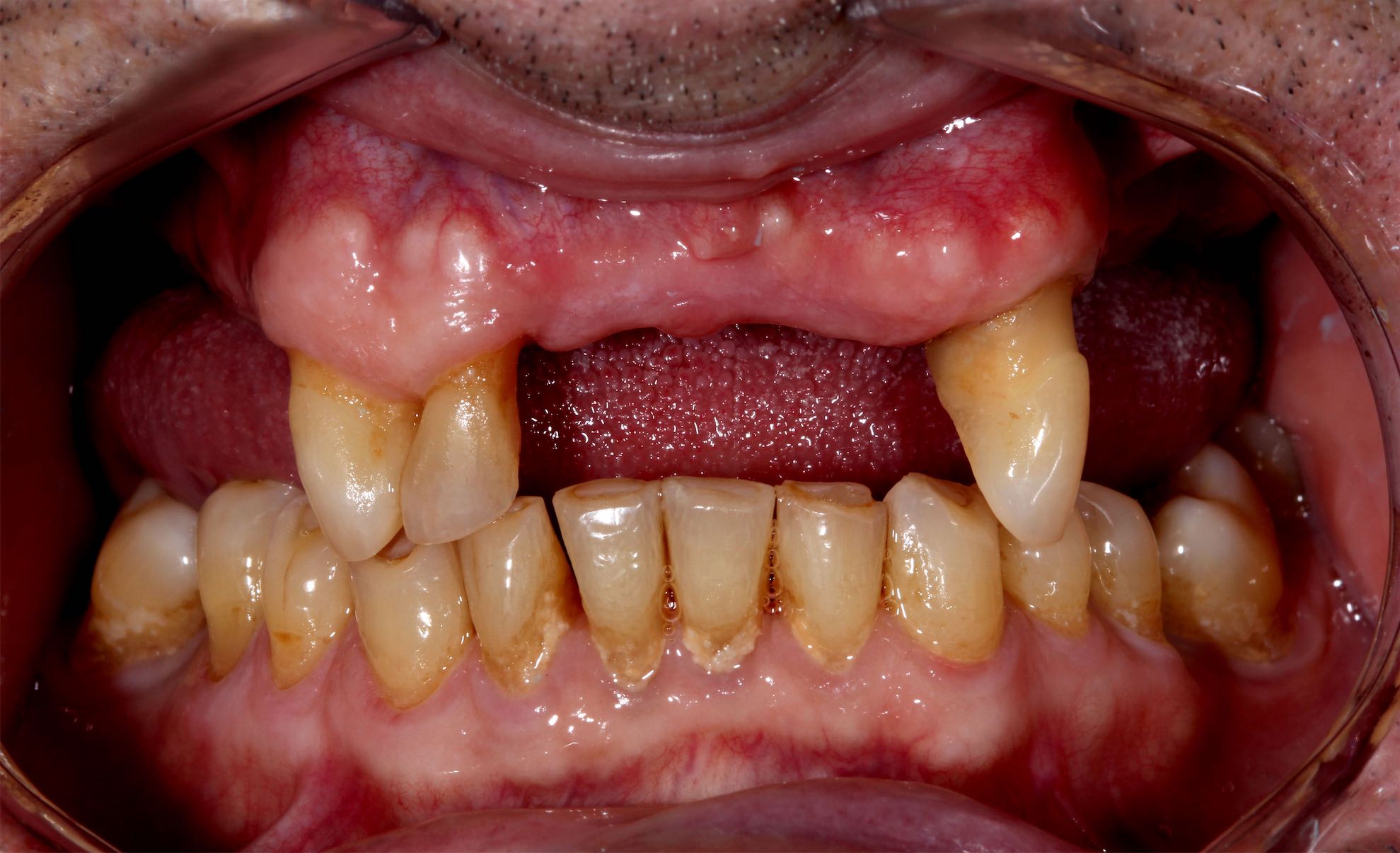
Implantes sector anterior



BeforeAfter
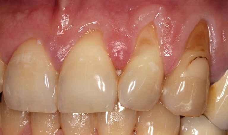
Injerto de encía para solucionar recesión



BeforeAfter
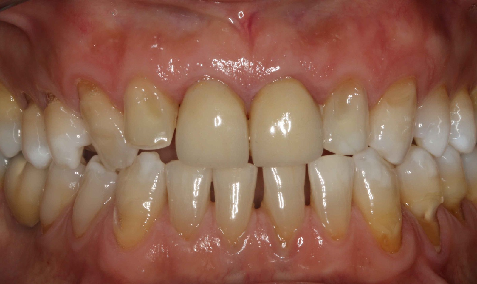
Caso de Rehabilitación completa y aumento de DV



BeforeAfter
Injerto de encía



BeforeAfter
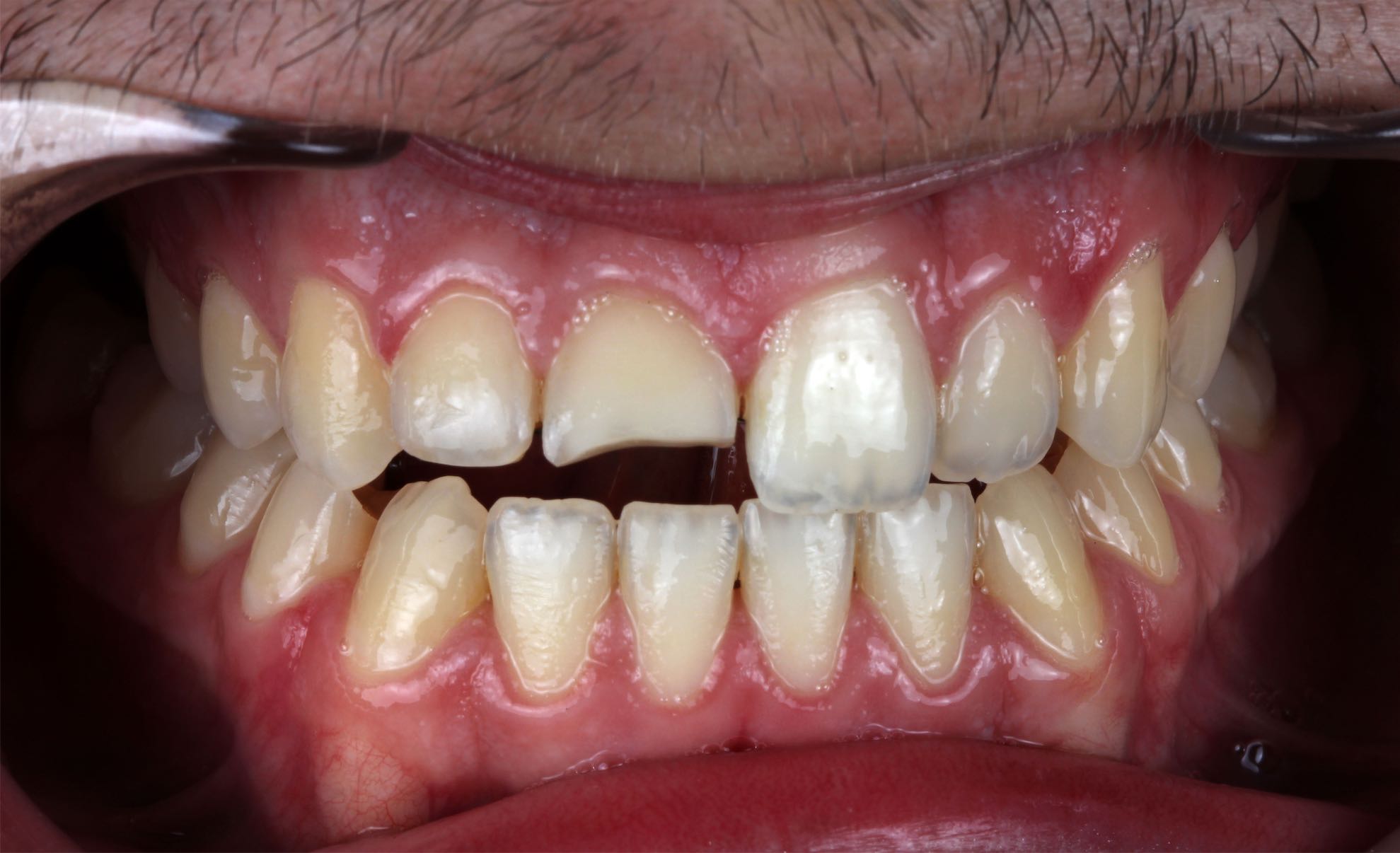
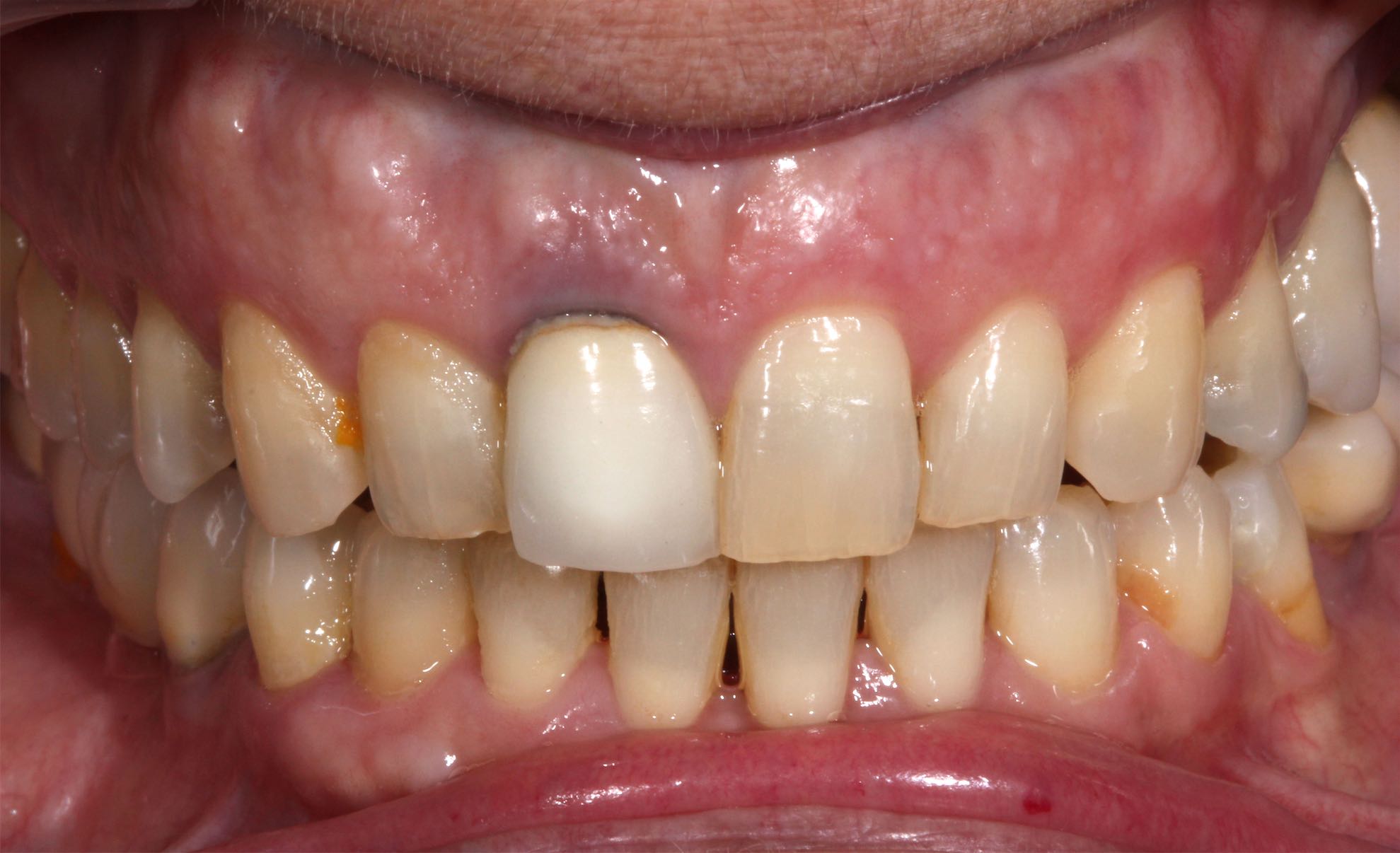
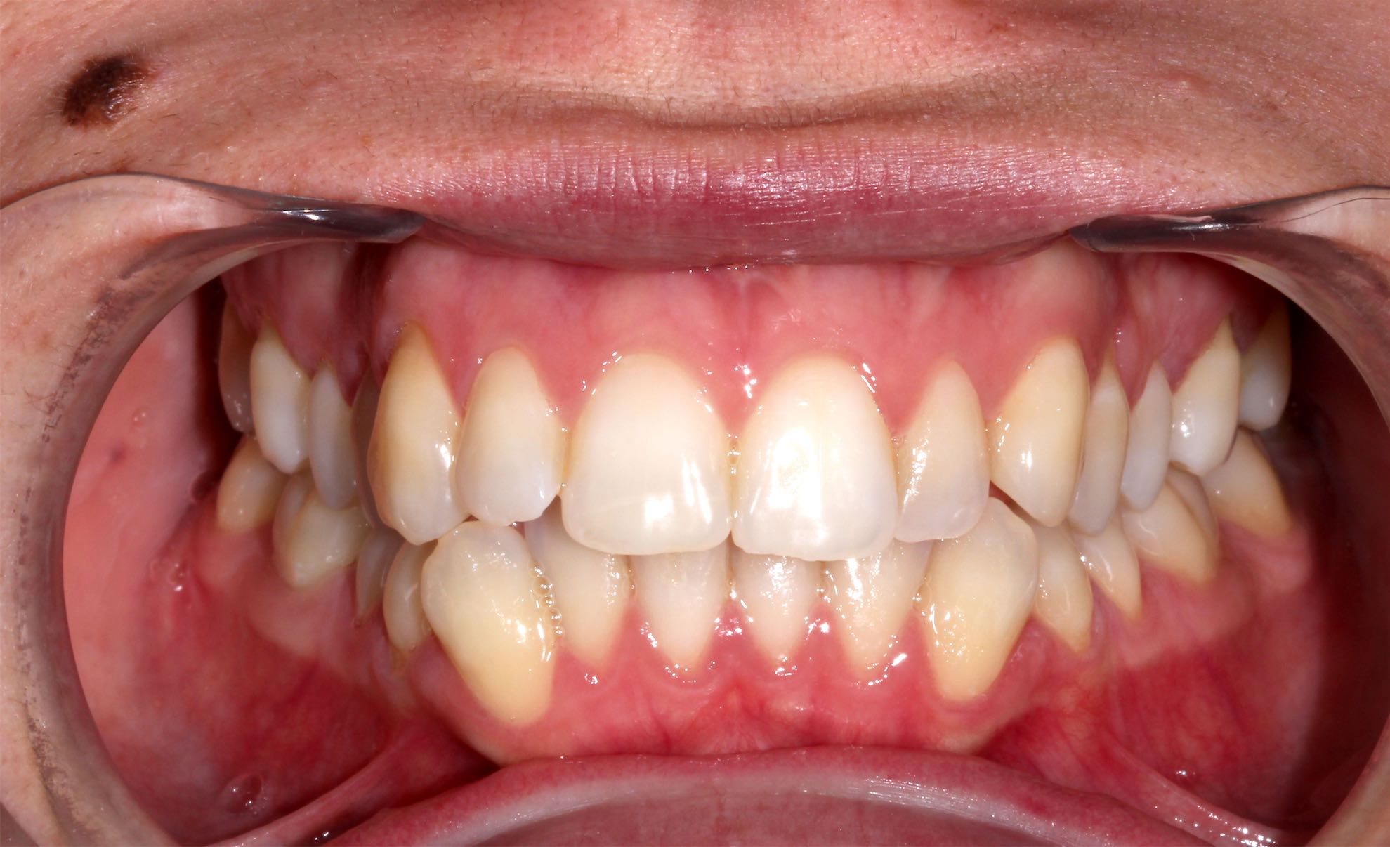
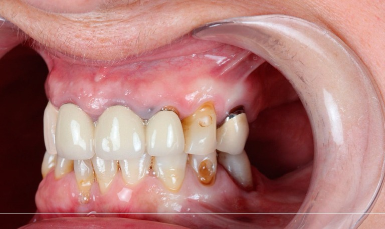
Odontología Estética. Coronas



BeforeAfter
